ANEURISMA ENDOCRANICO




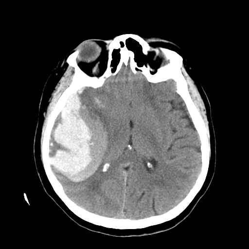
Sopra: aneurismi speculari della arteria cerebrale media (di cui uno a esordio emorragico - TAC con ematoma temporale)
L'aneurisma endocranico é una dilatazione sita in una o più arterie cerebrali site alla base del cranio.
Esse costituiscono il cosiddetto poligono del Willis, cioé la struttura, simile ad una corona, da cui si dipartono i principali vasi cerebrali.
La causa della formazione di queste dilatazioni (vedi i particolari di tre aneurismi, di cui due speculari della arteria cerebrale media e di cui il dx é responsabile della emorragia cerebrale visibile come una area bianca alla TAC) é talora ignota, altre volte legata a ipertensione, altre ancora associata a malattie diverse (rene policistico, sindrome di Marfan) che possono avere maggiore frequenza tra consanguinei.
Il problema dell'aneurisma é che a volte si rompe e si manifesta con una emorragia cerebrale, i cui sintomi possono andare dal solo male di testa (particolarmente violento ma soprattutto improvviso, caratteristica quest'ultima che deve orientare alla diagnosi e che permette di distinguerlo dagli altri mal di testa) al sopore, al coma e alla morte.
Ogni sanguinamento ha una mortalità del 50% e chi sopravvive il primo sanguinamento ha probabilità elevata di andare incontro ad una nuova emorragia nelle immediate 24-48 ore con nuova uguale probabilità di morte.
Siamo quindi di fronte ad una patologia che va trattata possibilmente in tempi rapidi, avendo come principale obbiettivo quello di impedire sanguinamenti che riducono drasticamente le possibilità di sopravvivenza di chi ne é colpito.
Il trattamento di queste lesioni é multidisciplinare e, dopo aver valutato caso per caso, può essere trattato con una chiusura microchirurgica della dilatazione aneurismatica o con l'inserimento di miniprotesi per via endovascolare (stent con o senza spirali) o con una combinazione di questi due trattamenti.
Sopra : Angio CT di aneurisma della arteria comunicante anteriore (dimensioni di circa 1 cm)